Removable Dentures Before & After Photos in Manila

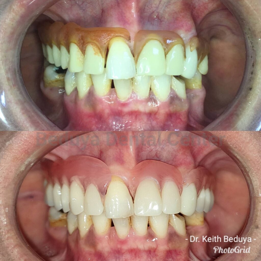
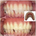
At Beduya Dental in Manila, we provide removable dentures as a practical, affordable, and natural-looking solution for patients dealing with multiple missing or failing teeth. Whether you need a partial denture to fill in gaps between remaining teeth or a complete denture for full arch restoration, our team crafts each denture with precision to ensure a comfortable fit and a lifelike appearance. Our before and after photos showcase real patients who came to us struggling with tooth loss and left with a fully restored smile and renewed confidence. Browse our gallery below and see why patients across Manila choose Beduya Dental for their partial and complete denture needs.