Cosmetic Dentistry

Cosmetic dentistry is generally used to refer to any dental work that improves the appearance of a person’s teeth, gums and/or bite

  • Composite Veneer
  • Gingivectomy
  • Instawhite Chemical Whitening
  • Non-surgical Smile Make-over
  • Porcelain veneer

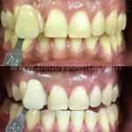
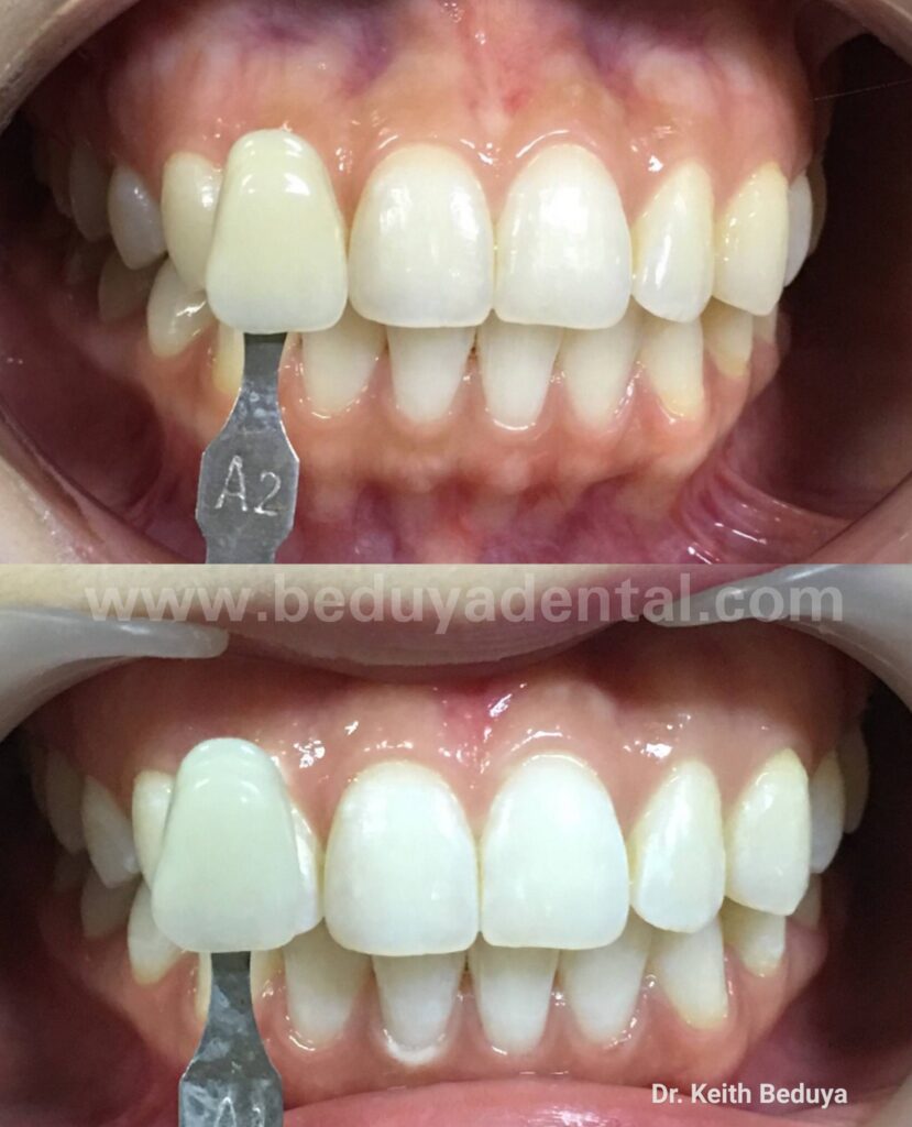
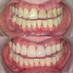
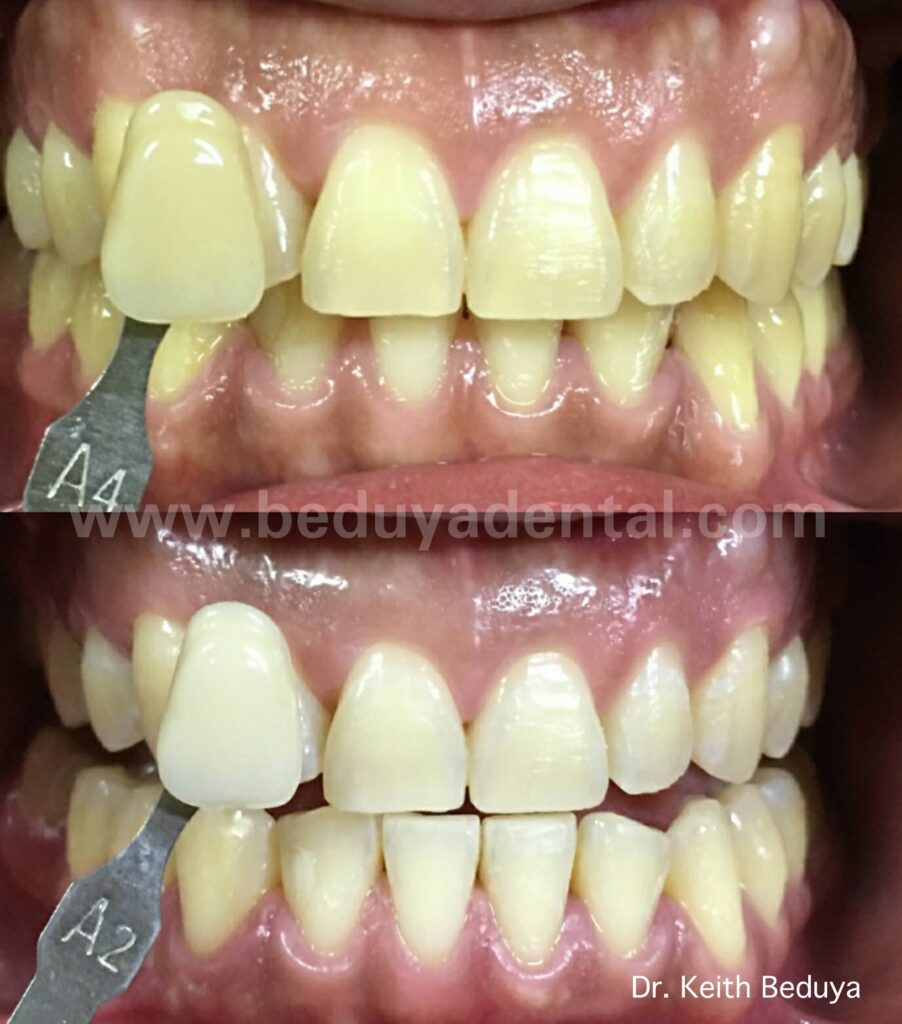
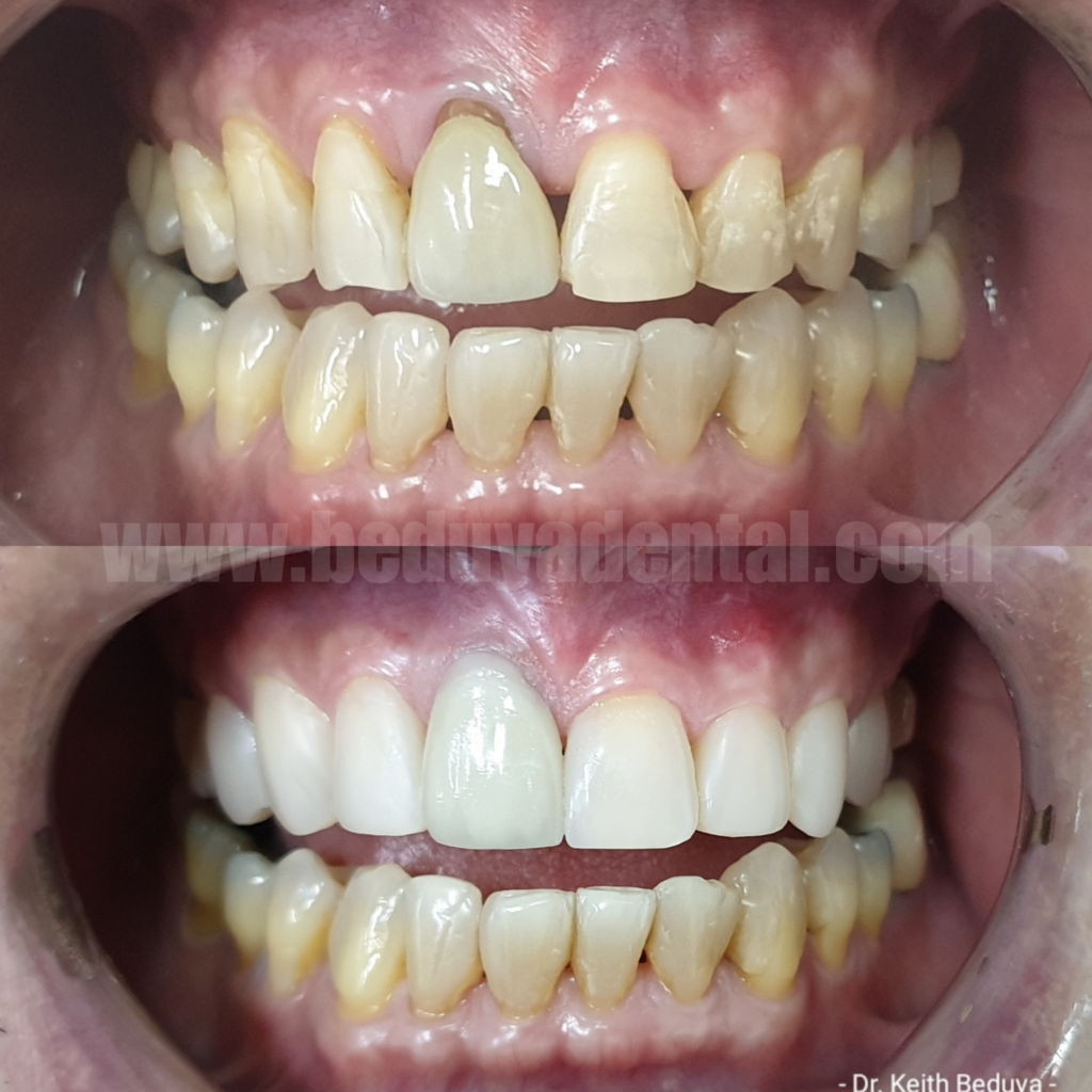
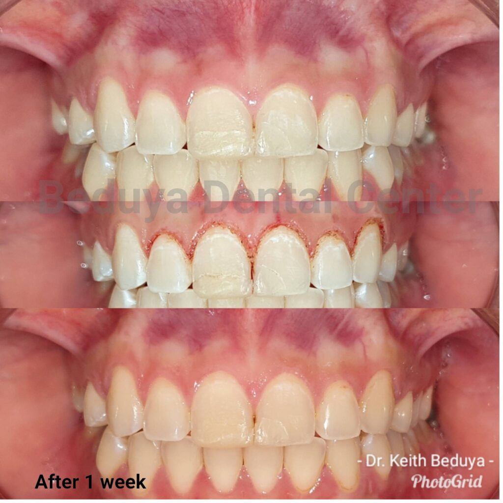
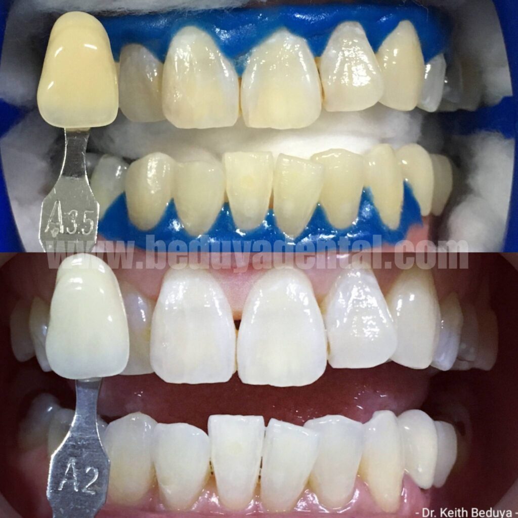
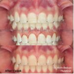
Real Before and After Results of Our Dental Treatments

Composite Veneer Before and After Results

Gingivectomy Before and After Results

Instawhite Chemical Whitening Before and After Results

Non-surgical Smile Make-over Before and After Results

Porcelain Veneers Before and After Results