Post and Crown Before & After Photos in Manila

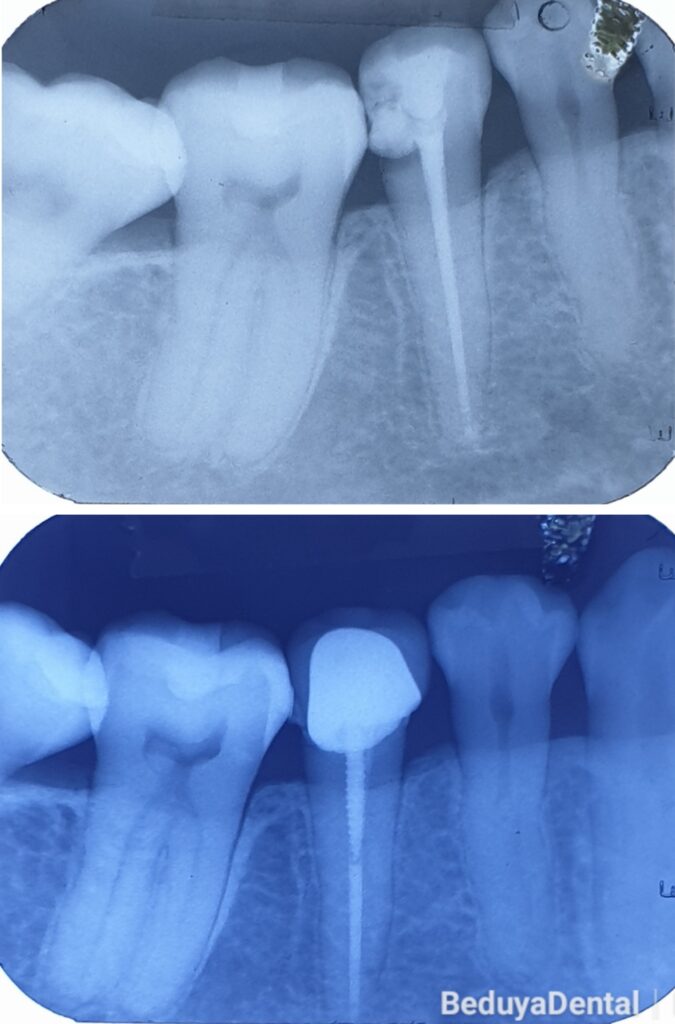
At Beduya Dental in Manila, we use post and crown restorations to rebuild teeth that have been severely damaged or structurally compromised — often following root canal treatment. A dental post is carefully placed into the root canal to create a stable foundation, allowing a crown to be securely attached and fully restore the tooth’s strength and appearance. Our before and after photos showcase real patients who came to us with heavily damaged teeth and left with a strong, natural-looking, long-lasting result. Browse our patient gallery below and see why patients across Manila trust Beduya Dental for post and crown and complete tooth restoration needs.