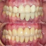
Fixed Dental Bridge Before & After Photos in Manila

At Beduya Dental in Manila, we provide fixed dental bridges as a proven, long-lasting solution for replacing missing teeth and restoring full smile function. Unlike removable dentures, a fixed bridge is permanently cemented in place, offering superior stability, comfort, and a completely natural look. Our before and after photos showcase real patients who came to us with gaps in their smile and left with a fully restored, confident result. Whether you are replacing one missing tooth or several, browse our patient gallery below and see why patients across Manila trust Beduya Dental for their dental bridge and tooth replacement needs.