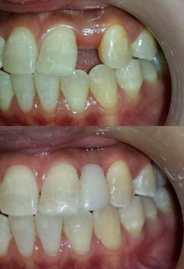
FibraBridge Dental Bridge Before & After Photos in Manila

At Beduya Dental in Manila, we offer FibraBridge as a minimally invasive and cost-effective dental bridge solution for patients looking to replace missing teeth without extensive tooth preparation. Unlike traditional fixed bridges or dental implants, FibraBridge uses fiber-reinforced composite material to restore your smile quickly and naturally. Our before and after photos showcase real patients who came to us with gaps in their smile and left with a seamlessly restored result. Browse our patient gallery below and see why patients across Manila choose Beduya Dental for their tooth replacement and dental bridge needs.