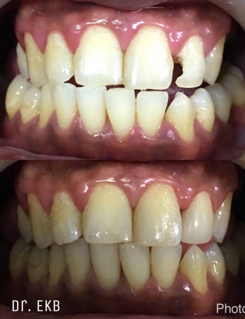
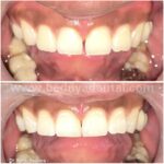
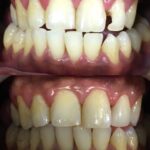
Camouflage for Front Teeth Before & After Photos in Manila

At Beduya Dental in Manila, we specialize in dental camouflage for front teeth — a transformative cosmetic dentistry solution that conceals chips, cracks, gaps, and discoloration for a flawless, natural-looking smile. Using advanced techniques including dental bonding and veneers, our team carefully crafts each restoration to blend seamlessly with your surrounding teeth, giving you results that look completely natural. Our before and after photos showcase real patients who came to us feeling self-conscious about their front teeth and left with a smile they are proud to show off. Browse our patient gallery below and see why patients across Manila trust Beduya Dental for their cosmetic dental needs.